


Ortodonti
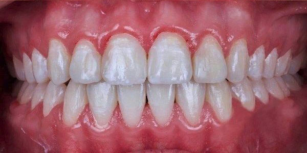
Ortodonti dişlerin ve çenelerin düzeltilmesiyle ilgili bir diş hekimliği uzmanlık alanıdır. Bu alanda uzmanlaşan diş hekimleri dişlerin, çenelerin ve yüzün yapısını düzeltmek için çeşitli tedaviler uygularlar.
Ortodontik tedaviler ağız sağlığını korumak, dişlerin daha iyi bir görünüme sahip olmasını sağlamak, çiğneme fonksiyonunu iyileştirmek, konuşma sorunlarını gidermek ve dişlerin gelecekteki bozukluklarını önlemek için uygulanır.
Ortodonti tedavileri genellikle aşağıdaki yöntemlerle uygulanır:
-
- İnvisalign: Bu dişlerin düzeltilmesi için kullanılan şeffaf, özel olarak tasarlanmış plaklardır. Bu plaklar dişlere uygun şekilde takılır ve dişlerin hareketini kontrol etmek için özel olarak tasarlanmıştır.
- Braketler: Bu dişlere yapıştırılan küçük metal veya seramik parçalardır. Braketler dişlere bağlı olan tellerle birlikte kullanılarak dişleri düzeltmek için bir kuvvet sistemi oluştururlar.
- Teller: Braketlere bağlı olan teller dişlere uygulanan kuvveti yönlendirerek dişleri hareket ettirirler. Tellerin sıkılığı ve yönü dişlerin hareket etme hızını belirler.
- Alın plakları: Bu diş hekimi tarafından yapılan özel plaklar veya ağızlık türü aparatlardır. Bu plaklar çenelerin gelişimini kontrol etmek, dişlerin pozisyonunu düzeltmek ve ağız yapısını değiştirmek için kullanılır.
- Ortodonti tedavileri dişlerin düzeltme süreci boyunca birkaç aydan birkaç yıla kadar değişebilir. Tedavi süresi tedaviye ihtiyacı olan dişlerin sayısı tedavinin karmaşıklığı ve tedavi yöntemine bağlı olarak değişebilir.
Ortodontik tedavilerin avantajları aşağıdaki gibi sıralanabilir:
- Daha iyi görünüm: Dişlerin doğru konumda olması daha iyi bir görünüm sağlar ve özgüveni artırır..
- Sağlıklı ağız: Dişlerin doğru konumda olması daha iyi bir çiğneme fonksiyonu ve dişlerin daha kolay temizlenmesi sağlar.